





Staplehurst Dental 4 Station Road Staplehurst Kent TN12 0QE
Staplehurst Dental 4 Station Road Staplehurst Kent TN12 0QE
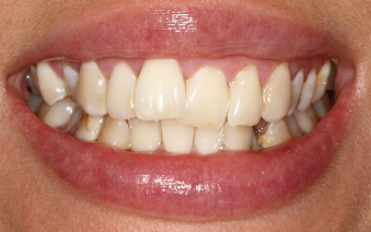
Hannah Bailey, 31, has wanted to straighten her teeth since she was a child, but said she could only now afford the £3,400 fees. “I wasn’t bullied, but people would say things like horse teeth. “That always stayed with me,” she said. “I avoid smiling, I hold my hand up to my mouth when I laugh, so it will be quite life-changing.” The self-employed childminder, from Maidstone in Kent, is part-way through a six-month treatment.
Despite being self-conscious about her teeth as a teenager, the fear of braces drawing unwanted attention turned her off, she said. Since having them fitted, the response from friends and family had been overwhelmingly positive, she said. However, she fears some people will view her decision as vain and similar to having plastic surgery.
“It’s strange. As children you are encouraged by dentists [to have your teeth straightened], but when you are an adult people think it’s a vanity thing.” While she understands how “textbook perfect” celebrity smiles can inspire self-consciousness, Hannah says they did not influence her. “What I’m going for is straight teeth, not the Hollywood smile.”
She was also picked up by BBC in an article about adults choosing teeth straightening: https://www.bbc.co.uk/news/uk-england-49183879
"I can not recommend this practice enough, great service, friendly and efficient staff, clean and…
Claire Keulemans
Read More"I was dreading my hygiene appointment with Victoria, I have had my teeth cleaned elsewhere…
Hayley Draper
Read More"Before I had the Six Month Smiles treatment I Before I had the Six Month…
A. Hill
Read More"I was very self conscious about my teeth, I had no confidence at all because…
Mr S. Cushion
Read More"I am absolutely delighted with the results of my Six Month Smiles treatment.I have always…
A. Brown
Read More"Full Ceramic Crown – Well! What can I say – the most amazing tooth…
J. Wood
Read More"I have just finished my treatment of Six Month Smiles. I was nervous before treatment…
Kayleigh
Read More"I came to Staplehurst Dental Practice and saw Dr. Jan. Within 10 days I had…
D. Stanton
Read More"Dear Jan, Victoria and all the team at Staplehurst Dental. Just a little note to…
Jess Green
Read MoreAt Staplehurst Dental we are taking this pandemic seriously and are ensuring your health and safety comes first.
Following the recent announcement by the Prime Minister, we would like to reassure you that we will be remaining open unless instructed otherwise by our governing bodies.
The safety of our patients and staff is very important to us and along with all the correct PPE and universal infection control protocols in place, we will be able to continue with all planned appointments.
As per the Prime Ministers announcement, we too would recommend that you avoid cancelling or delaying any essential/planned treatments, in case this leads to future complications for your health.
If you require any of our services, please do get in touch, as we are here to help you.
We would like to thank you for your continued support and patience during this time, and hope you all remain safe!
